Prvi put u BiH: U SKB Mostar uspješno izveden iznimno složen BEVAR zahvat
U Sveučilišnoj kliničkoj bolnici Mostar je jučer, 14. travnja 2026. godine, uspješno izveden iznimno složen i rijedak zahvat na torakalnoj i abdominalnoj aorti, čime je ostvaren značajan iskorak u području suvremene intervencijske radiologije i vaskularne medicine u Bosni i Hercegovini.
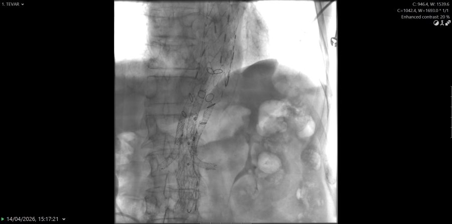
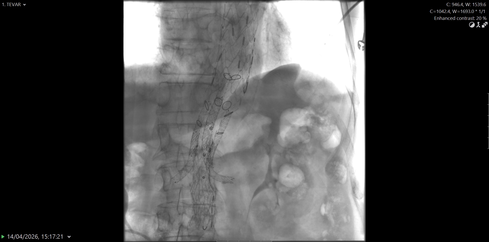
Riječ je o proceduri poznatoj kao BEVAR (branched endovascular aortic repair) koja je primijenjena kod pacijenta s istodobnom aneurizmom i disekcijom torakalne aorte, životno ugrožavajućim stanjima koja zahtijevaju visoko specijaliziran pristup i vrhunsku medicinsku opremu.
Zahvat su izveli specijalisti radiologije uz pomoć kardiovaskularnih kirurga, uz stručni nadzor i podršku kolega iz KBC Osijek, čime je dodatno osigurana uspješna realizacija ovog kompleksnog zahvata.
Ono što ovaj poduhvat čini posebno značajnim jest činjenica da je riječ o prvom zahvatu ove vrste izvedenom u Bosni i Hercegovini. Time Sveučilišna klinička bolnica Mostar potvrđuje svoju poziciju jedne od vodećih zdravstvenih ustanova u regiji, sposobne pratiti najnovije svjetske trendove u minimalno invazivnom liječenju složenih kardiovaskularnih bolesti.
„Ovakvi zahvati predstavljaju vrhunac suvremene endovaskularne medicine i zahtijevaju iznimnu koordinaciju multidisciplinarnog tima koji uključuje interventne radiologe, kardiokirurge, vaskularne kirurge, anesteziologe, inženjere radiologije, instrumentarke i anestezičare. Tijekom zahvata ugrađena su ukupno tri stenta duž aorte, od arterije subklavije do bifurkacije aorte. Kako bi se osigurala adekvatna prokrvljenost vitalnih organa, postavljen je posebno dizajniran stent s otvorima za bubrežne arterije te arterije koje opskrbljuju crijeva“, pojasnio je dr. Gojko Bogdan, voditelj Kliničkog odjela za vaskularnu i intervencijsku radiologiju te dodao se pacijent nakon zahvata osjeća odlično.
„Uspješna realizacija ovog zahvata predstavlja velik iskorak za domaći zdravstveni sustav, ali i za pacijente kojima su ovakve napredne metode liječenja do sada bile dostupne uglavnom u inozemstvu. Ponosni smo što smo ovu proceduru prvi put uspješno izveli u Bosni i Hercegovini, čime smo otvorili nove mogućnosti liječenja za naše pacijente“, zaključio je dr. Bogdan.


